entenda os riscos e cuidados essenciais

por Assessoria de Imprensa


Sensibilidade, dor ao mastigar e dentes expostos podem ser sinais de um problema silencioso, mas reversível

Conteúdo de Marca – Dr. Diogo Coelho | 17/11/2025 06:30

 Dentes sensíveis e gengiva retraída: os sinais que não devem ser ignorados
Dr. Diogo destaca com um acompanhamento no dentista faz toda a diferença.

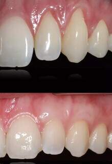
Muita gente só percebe que algo está errado quando escovar os dentes começa a doer. O incômodo com bebidas geladas, alimentos quentes e até com o vento é comum e pode ser o primeiro alerta de que a gengiva está recuando. O nome técnico é recessão gengival, e, segundo o cirurgião-dentista Diogo Coelho, é um dos problemas mais frequentes nos consultórios, embora ainda subestimado.

A recessão gengival, caracterizada pelo recuo do tecido que protege os dentes, é um problema frequente nos consultórios odontológicos. Segundo o cirurgião-dentista Diogo Coelho, a condição pode ser causada por escovação agressiva, gengiva naturalmente fina, bruxismo ou fatores genéticos, causando sensibilidade e aumentando o risco de cáries e inflamações. O tratamento varia conforme a gravidade, desde ajustes na higiene bucal até enxertos gengivais. O especialista ressalta que o diagnóstico precoce é fundamental para melhores resultados, pois a condição pode comprometer a estrutura de sustentação dos dentes. A prevenção, através de consultas regulares e limpezas, continua sendo a melhor estratégia para manter a saúde bucal.

Quando a gengiva sobe, o dente fica mais exposto e sensível. Isso abre caminho para cáries, inflamações e, em casos mais graves, até perda dentária”, explica o profissional.

 Dentes sensíveis e gengiva retraída: os sinais que não devem ser ignorados
Recessão gengival é um dos problemas mais frequentes nos consultórios.

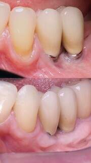
A recessão acontece quando o tecido que cobre o dente se retrai e deixa parte da raiz à mostra. O motivo pode estar em uma escovação agressiva, na gengiva naturalmente fina, no bruxismo ou em fatores genéticos. O problema também aparece em pacientes com implantes, nesse caso, recebe o nome de recessão peri-implantar, mas tem a mesma origem: a fragilidade do tecido gengival.

“Muitos pacientes chegam dizendo que os dentes parecem maiores. Na verdade, é a gengiva que diminuiu”, detalha o dentista. “A boa notícia é que, hoje, temos soluções muito eficazes.”

O tratamento depende da gravidade e pode variar desde limpezas especializadas e ajustes de escovação até enxertos gengivais, técnica que recompõe o tecido perdido e protege novamente as raízes. Segundo o Dr. Diogo, o acompanhamento precoce faz toda a diferença.

Quanto antes o paciente procura ajuda, mais simples é o processo e melhores são os resultados”, afirma. “Além da estética, há um ganho real de conforto e de qualidade de vida. A sensibilidade desaparece e o paciente volta a comer e sorrir sem dor.”

Apesar de parecer apenas um incômodo estético, a recessão gengival tem impactos diretos na saúde. Ela favorece o acúmulo de placa bacteriana, aumenta o risco de inflamações e pode comprometer a estrutura de sustentação dos dentes.

 Dentes sensíveis e gengiva retraída: os sinais que não devem ser ignorados
Não espere o desconforto virar dor, vá ao consultório (Foto: Divulgação)

Por isso, o dentista reforça a importância de não esperar o desconforto virar dor. Consultas regulares e limpezas preventivas ainda são as melhores estratégias para manter a gengiva saudável.

O dentista não é só para quando algo dói. A prevenção evita procedimentos mais complexos e preserva o que temos de mais importante: o sorriso e a autoconfiança”, completa Dr. Diogo Coelho.

Em Campo Grande, o especialista atende na Clínica Refinare, espaço voltado para cuidados odontológicos integrados, que combina tecnologia e atenção personalizada. Lá, os exames são rápidos e o atendimento busca tornar cada etapa mais tranquila, inclusive para quem ainda sente medo do consultório.

Porque, no fim, cuidar da gengiva é também cuidar de si: um gesto simples que garante mais saúde, conforto e, claro, vontade de sorrir.

Procure o Dr. Diogo Coelho para tirar suas dúvidas. Na Refinare, sua saúde é sempre aliada ao conforto. Deixe o medo para trás e entre em contato através do WhatsApp clicando aqui para agendar seu atendimento.

A Clínica Refinare Odontologia fica localizada na Rua Bahia, número 12, Centro (Veja como chegar).

Mais informações também podem ser conferidas através do site www.refinareodontologia.com.br e no Instagram @refinareodontologia e também no @prof_diogocoelho.

 Dentes sensíveis e gengiva retraída: os sinais que não devem ser ignorados
Procure o Dr. Diogo Coelho para tirar suas dúvidas na clínica Refinare.





Source link

Related Posts

Deixe um Comentário